발가락 골절, 발등 골절, 4주 깁스 후기 - 골절 빨리 낫는 방법
계단을 급하게 내려가다가 접질리는 사고가 났다. 처음에는 그냥 단순히 접질리거나 인대가 조금 늘어났겠지 생각했다. 사실 음주 중이라 그렇게 크게 다쳤다고는 생각하지 못했던 것 같다.
다음날 자고 일어나 보니 발등이 퉁퉁 부어있었다.

화장실 가려고 발을 바닥에 디디는데 찌르는듯한 통증이 있었다. 도저히 딛고 가만히 서있는 것조차 불가능할 정도의 통증이었다. 얼음찜질을 하고 붓기를 좀 가라앉혀 보려고 했지만 붓기와 통증은 지속됐다. 주말이라 할 수 있는 게 찜질과 소염 진통제를 복용하는 것 밖에 없었다.
타이레놀은 진통 효과는 있지만 소염 효과가 없어서 약통을 뒤지다가 진통 소염제를 찾았다. 어린이용 부루펜 시럽...
편의점에서 파는 내복약 소염제는 이것밖에 없어서 사두었던 것으로 기억한다.
진통제도 종류가 여러가지인데 상황에 맞는 진통제가 따로 있다는것도 알게됐다.
이렇게 냉찜질을 하며 식사하고 다음날이 되었다.
붓기는 아주 조금 가라앉은것 처럼 보였지만 여전히 바닥을 디딜 때 통증은 극심했다. 순간적으로 '아.. 이거 골절됐구나' 싶었다. 왜냐하면 단순한 통증이 아니라 특정 부위에 찌르는듯한 통증이 느껴졌기 때문이다.
일요일이라 문연 병원은 당연히 없을 거고 그보다도 우선 3층 계단을 내려갈 엄두가 나지 않았다.
119를 불러야하나... 여자 친구에게 연락하여 택시를 불러서 응급실이 있는 병원으로 향했다.
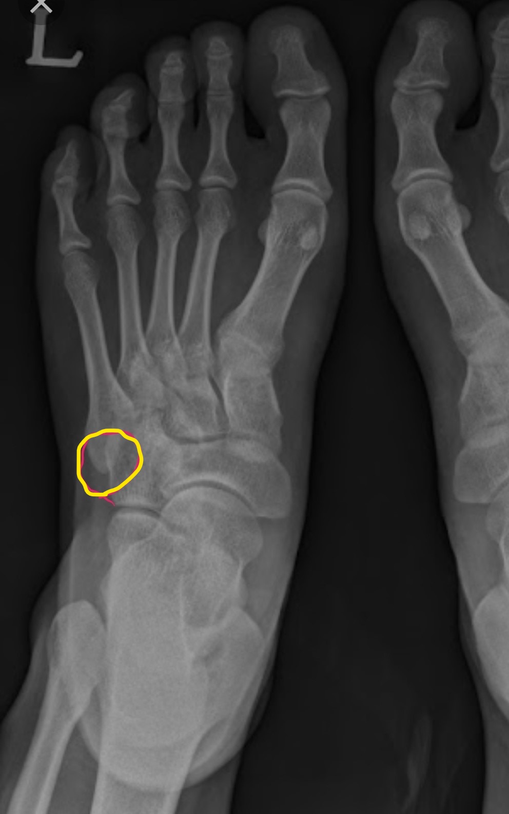
X-ray를 촬영하고 골절은 아닌 것 같은데 통증이나 붓기가 이상하다고 했다.
그리고 초음파를 찍어 보자고 했고 초음파에서 골절로 의심되는 부위를 발견하여
X-ray로 자세를 달리하여 촬영했다.

새끼발가락과 발등 연결 부위의 골절. 뼈끼리 연결되는 부분이라 뼈가 붙을 때까지 4~6주간 통 깁스를 해야 한단다.

집에 와서 유튜브와 검색으로 골절에 좋은 음식, 영양제, 골절 빨리 낫는 방법 등을 검색했다. 수많은 정보들이 있었고 어떤 게 맞는 건지 주로 정형외과 의사들이 제공하는 정보를 취합했다.
골절이 발생해서 검색해보다가 여기까지 방문하신 분들을 위해서 골절에 관한 중요한 정보만 정리해보자면
1. 성장기가 끝난 성인은 나이와 관계없이 뼈가 붙는 기간은 크게 차이가 없다.
(건강한 성인 25세 청년과 80세 노인이 차이가 없다는 것에 놀랐다.)
2. 성장기 아이들은 골절 시에성인보다 뼈가 훨씬 빨리 붙는다.
허벅지뼈 골절 예시) 신생아의 경우 3주, 8살의 경우 8주, 12살의 경우 12주 정도 걸린다. 20살 이후에서는 20주 정도 소요된다고 한다.)
3. 골절된 뼈가 다시 붙기 위해 필요한 시간은 골절 부위에 따라 다르다.
건강한 성인 기준 수지골(손가락, 발가락) 골절 시에는 3주~4주,
아래팔뼈나 위팔뼈 골절의 경우 약 8주에서 12주, 쇠골 골절 시에는 6~9주, 허벅지 뼈 골절 시에는 16~20주
정강이 뼈 골절시 12~16주 정도가 걸린다. 이렇게 골절 부위에 따라서 적게는 3주부터 많게는 약 20주까지 걸린다.
4. 골절된 뼈가 붙는 과정은 골절된 부분에 '골진'이라는 것이 나오는데, 이 골진은 부러진 뼈를 붙여주기 위해서 우리 몸안에서 스스로 만들어 내는 접착제라고 할 수 있다. 이 골진이 나와서 골절된 부위의 틈을 메워주고 굳는 과정이 필요하다. 발목 골절의 경우 골진이 나오고 4주 정도 되어야 어느 정도 튼튼하게 엉겨 붙은 상태가 된다고 한다. 하지만 골진이 나왔다고 해서 완벽하게, 단단하게 붙은 것은 아니다. 약 3달 정도는 지나야 완벽하게 접합되며 뼈에 골절됐던 흔적이 없어지고 단단하게 붙기 때문에 골절로 깁스를 한 부분은 최대한 흔들리지 않게 움직이지 말아야 한다. 골절된 부위가 흔들리거나 움직이는 환경이 되면 이 골진이 나오지 않아 문제가 될 수 있다.
골절에 좋은 음식
골절이 빨리 낫기 위해서는 적절한 영양섭취가 중요하다. 정형외과 의사들이 추천한 골절에 좋은 음식을 알아보자
1. 계란 - 계란 노른자에는 칼슘이 풍부해서 골밀도를 높이고 기타 미네랄이 골절 시 뼈가 새로 접합되는데 도움이 된다.
2. 시금치 - 시금치에는 항산화제, 철분, 칼슘이 풍부해서 근육과 뼈를 튼튼하게 만들어 주는데 좋다.
3. 생선 오메가 3 - 연어와 대구 참치 같은 생선에는 칼슘+비타민D가 풍부하며 오메가 3이 다량 함유되어있어, 골밀도를 높여준다 또한 오메가 3의 좋은 지방산이 혈액순환에 도움이 되기 때문에 골절 부위에 염증을 줄여주기도 한다.
4. 요거트 - 요거트에는 프로바이오틱스와 같은 면역력 개선에 도움이 되는 성분뿐만 아니라 칼슘과 비타민D도 풍부하기 때문에 골절에 좋은 음식이다.
두유 - 식물성 단백질뿐만 아니라 식물성 에스트로겐으로 여성들에게 특히 좋다. 이 식물성 에스트로겐은 중년 여성들의 골밀도를 높여주는데, 칼슘 흡수를 도와주는 성분이 많기 때문이다.
5. 사골국 - 사골은 마그네슘 각종 미네랄 칼슘 단백질이 풍부하다. 하지만 사골은 무조건 오래 끓인다고 좋은 것은 아니다. 사골을 끓이기 시작하면 사골 속에 다양한 성분이 녹아 나오는데 한 번에 6시간씩 3번을 끓여낸 사골국이 뼈 건강에 도움을 주는 칼슘과 마그네슘 함량이 가장 높다. 이후로 더 끓이면 칼슘의 농도가 줄고 오히려 칼슘의 흡수를 방해하는 성분인 인의 함량이 높아지기 때문에 뼈에 도움이 되지 않는다.
골절됐을 때 가장 좋은 핵심 영양소는 칼슘과 비타민D, 마그네슘과 각종 미네랄이다. 특히 비타민D는 칼슘이 빠져나가는 것을 막을 수 있다.
결론 - 골절 깁스 기간은 연령과 건강상태에 따라 차이가 있지만 성인 기준으로는 나이에 크게 상관없다. 골절 회복 중에는 최대한 움직이거나 흔들리지 않게 유지해 주고 칼슘과 비타민D를 충분히 섭취해 주는 것이 뼈 건강에 도움이 된다.
이글이 도움이 되셨다면
아래 공감♥ / 구독 한 번씩만 눌러주세요 (로그인 안 해도 돼요 )
댓글