
과거에는 수도사, 스님, 종교인들만 명상을 하는 것이라고 생각했다. 현대에 들어서는 신비주의와 종교를 제거한 명상에 대한 보다 과학적인 접근이 이루어지고 있다. 오늘은 일본의 한 뇌 과학자가 말하는 명상의 효과와 일상에서 실천하기 쉬운 명상 법에 대해서 알아보자
명상이란?
심리학용어 사전에서는 "마음의 고통에서 벗어나 아무런 왜곡 없는 순수한 마음 상태로 돌아가는 상태를 초월이라고 하며 이를 실행하는 방법이 명상이다."라고 소개하고 있다. 국어사전에서는 고요히 눈을 감고 깊이 생각함. 또는 그런 생각"이라고 되어있다.
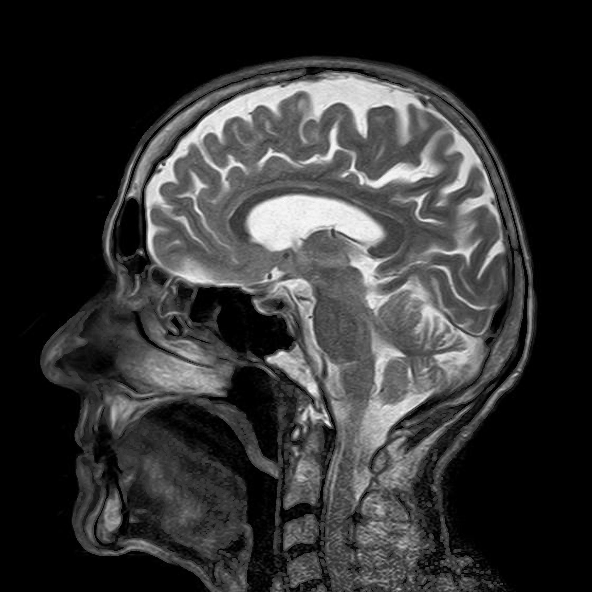
뇌 과학 분야에서는 뇌파 측정 및 MRI 등으로 명상이 뇌에 미치는 효과를 과학적으로 분석할 수 있게됐다. 미지의 추상적이고 정적인 분야에서 과학적으로 측정하거나 분석이 가능해진 분야로 변화되었으며 이를 이용한 다양한 연구가 활발하게 진행 중이다.

뇌 과학의 연구 결과에서 밝혀진 명상
명상에 관해서 밝혀진 과학적인 연구결과는 대표적으로 티베트 수행자의 뇌 활동 분석이 있다. 불교 수행자의 뇌파를 분석 한 결과, 인식 활동과 관련된 감마파 뇌파의 활동량이 명상 수행에 소요된 시간의 길이에 비례하면서 증가하고 있는 것으로 나타났다. 이것은 집중력의 증가와 관련이 있다고 알려져 있다. 즉 명상을 지속하면서 집중력이 증가 한것이다.후속 연구에서는 명상하는 이 티베트 수행자의 뇌의 형태에서도 변화가 일어났던 것으로 밝혀졌다. 생각과 창의력을 담당하는 전두염 피질이 두꺼워지는 구조 변화를 볼 수 있었고, 공포와 불안, 기쁨, 슬픔 등의 감정에 작용하는 편도체와 전두엽 피질의 결합이 더 강력하게 결합하는 것도 밝혀졌다. 이 결과에서 유추할 수 있는 것은 감정을 제어하는 능력이 높아질 수 있는 가능성이 있다는 것이다. 연구 대상이 된 티베트 불교의 수행자는 하루에 약 9~10시간씩 3년간에 걸쳐 명상을 하고 있었는데 명상을 통해 자신의 뇌의 활동 방식을 스스로가 변화시키고 있었던 것이다. 명상을 통해 뇌의 구조를 바꾸고 집중력을 증가시키며, 감정을 컨트롤할 수 있게 된 것이다.

명상의 효과
명상의 효과는 다양하다. 앞서 이야기한 집중력 강화와 감정제어 외에도 명상의 효과에는 스트레스 감소와 통증 완화, 우울증의 치료에도 효과가 있는 것으로 알려졌다. 이러한 명상의 효과들도 뇌 과학의 연구 결과에서 설명할 수 있다. 한 예로 우울증이나 강박증, 불안증, 분노조절장애, 집중력 장애에 치료방법인 약물 치료와 전기자극과 같은 방법을 대체해서 환자들에게 명상을 하게 했는데, 약물이나 기타 치료에 준하는 효과를 보인 것이다. 또한 비용과 부작용이 거의 들지 않는다는 점에서 안전한 명상의 효과를 확인할 수 있었다. 명상을 통해서 환자들 스스로 뇌를 자극하고 뇌의 구조를 천천히 변화시키게 한 것이다. 지금까지 밝혀진 명상의 효과로는 뇌파를 느린 알파파와 세타파로 변화시켜 통증 감소에 효과적이며, 스트레스를 호르몬인 코르티솔 호르몬의 분비를 감소시켜 행복 호르몬인 세로토닌 분비를 촉진하기도 한다. 스트레스로 인해 흥분된 교감신경을 억제하고, 부교감 신경을 활성화하여 긴장을 풀고 몸을 이완 상태로 유도하여 불면증에도 효과가가 있는 것으로 알려졌다.

일상에서 실천하는 명상
앞서 이야기한 티베트 수행자 처럼 장시간 명상을 할 수 없더라도 평범한 일반인들도 매일 명상을 하고 뇌의 구조적인 변화를 일으키는 것이 가능하다. 명상하는 법에는 다양한 방법이 있다. 그중 일상생활에서 쉽게 실천 가능한 명상법 두 가지를 소개한다.
호흡명상
호흡명상을 하는 방법은 호흡명상을 하는 방법은 우선 목, 등, 허리가 일직선이 되게 곧고 편안하고 이완된 자세를 취하고, 아랫배에 중심을 두어 숨을 들이쉬고 내쉰다. 이때 숨을 들이시고 내뱉는 과정을 순간순간 집중하여 명상을 한다. 복식호흡을 대입해 들이마실 때 머리로부터 가슴으로 가슴에서 배로 이어지는 들어오는 공기와 여러 가지 느낌에 집중하고 내쉴 때도 역순으로 배, 가슴, 머리 순으로 공기가 빠져나감에 집중하면 된다. 이렇게 호흡에 집중하는 명상이 가장 쉽고 빠르게 안정적인 상태로 진입할 수 있다.
관찰 명상
관찰 명상은 자신의 감각 자신의 감각이나 행동, 마음에 떠오른 생각을 관찰한다는 것이다. 예를 들어, 20 분 동안 앉아 명상을 한다고 했을 때 아무런 생각도 하지 않는 것은 어려울 수 있다. 그냥 앉아있는 것만으로도 여러 가지가 수만은 잡념이 떠오르기 때문이다. 그럴 때 억지로 생각을 몰아내고 무심히 되려고 노력하는 것이 아니라, 관찰 명상은 "생각이 떠올랐다"라고 생각이 떠올랐다는 사실 그 자체를 관찰하는 방법이다. 또 그 생각의 옳고 그름을 판단하지 않고 그저 제삼자의 입장에서 떠오르는 생각을 바라보기만 하는 것이다. 대부분 명상이라고 하면 호흡에 집중하는 방법을 권하기도 한다. 관찰 명상은 들이마시고 내뱉는 호흡 과정 자체를 관찰한다. 얼마나 깊게 들이마시는지 얼마나 짧게 내뱉는지 등 그저 호흡하고 있는 자신 자체를 관찰한다. '잘되고 있는 건가?'라는 생각도 필요하지 않다. 관찰 명상을 지속적으로 하게 되면 어떤 사물이나 대상도 고정적이 아니라는 것을 느껴볼 수 있다. 연기가 피어나고 사라져 가는 것처럼, 바람이 불고 날씨가 바뀌는 것처럼 언제든 변화하는 것을 느낄 때 자신의 상태도 언제든 변할 수 있다고 인정하게 된다.
댓글